Top 5 Amazing Benefits of Costa Rica Teeth Whitening
Costa Rica has become a leading destination for dental tourism, and teeth whitening is one of the most popular procedures. But why is it so sought after? Beyond the obvious aesthetic improvements, teeth whitening in Costa Rica offers a range of benefits that extend far beyond a brighter smile. This article dives into the top five amazing advantages of choosing Costa Rica for your teeth whitening journey, exploring how this cosmetic procedure can transform your smile and your life.
Enhanced Confidence and Self-Esteem
One of the most immediate and significant benefits of teeth whitening is a boost in confidence and self-esteem. A bright, white smile can make you feel more attractive and self-assured. This newfound confidence can positively impact various aspects of your life, from your personal relationships to your professional endeavors. When you feel good about your smile, you’re more likely to smile more often, which in turn can improve your mood and overall well-being. The psychological impact of a beautiful smile should not be underestimated.
The Power of a Radiant Smile

A radiant smile is a powerful communication tool. It can express joy, warmth, and approachability. A whiter smile draws people in, making you appear more friendly and open. It leaves a lasting positive impression on those you meet. In social situations, a confident smile can ease tension and foster connection, making you feel more comfortable and at ease. The simple act of smiling can also release endorphins, naturally elevating your mood and reducing stress.
Boosting Social Interactions
A whiter smile can significantly enhance your social interactions. People with bright smiles are often perceived as more attractive, friendly, and approachable. This can lead to better first impressions and improved social connections. Smiling more freely can also make you more open to engaging with others. Consequently, you’ll likely find yourself more comfortable in group settings and more willing to initiate conversations. This heightened confidence can strengthen existing relationships and help you form new ones.
Improved Professional Opportunities
In the professional world, a bright smile can be a valuable asset. It can project confidence and professionalism, which can be crucial in job interviews, presentations, and client interactions. Studies have shown that individuals with attractive smiles are often perceived as more competent and trustworthy, which can lead to better opportunities for advancement. Having a confident smile can significantly impact your professional image and help you achieve your career goals. Consider the benefits of teeth whitening as an investment in your future.
Teeth Whitening for a Whiter Smile

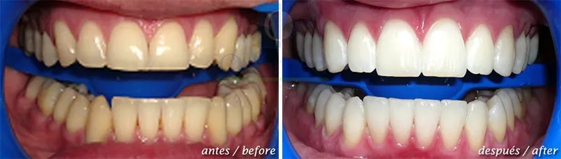
Teeth whitening is primarily aimed at eliminating stains and discoloration, resulting in a noticeably brighter smile. Over time, teeth can become stained due to various factors such as food, drinks, and tobacco use. Professional teeth whitening treatments in Costa Rica offer an effective solution to these issues. The process typically involves using a bleaching agent to remove stains and lighten the enamel. With advanced techniques, you can achieve a dramatically whiter smile with lasting results.
Eradicating Stains and Discoloration
Professional teeth whitening effectively targets and removes stubborn stains and discoloration. Stains can arise from various sources like coffee, tea, red wine, and tobacco products. The whitening agents penetrate the enamel, breaking down these stains and restoring the natural whiteness of your teeth. The results are often immediately noticeable, leaving you with a fresher and more vibrant smile. Professional treatments provide a far more effective solution than over-the-counter products, ensuring lasting results.
Achieving a Healthier Smile
While the primary goal of teeth whitening is cosmetic, it can also contribute to a healthier overall oral environment. The process involves a thorough cleaning of your teeth, which can eliminate plaque and bacteria. This can help prevent further dental issues like cavities and gum disease. A brighter smile encourages you to take better care of your teeth and maintain good oral hygiene practices. Regular checkups with your dentist, often part of the teeth whitening package in Costa Rica, can help detect and address any underlying dental problems early on.
Minimally Invasive & Gentle Treatment

Teeth whitening is a minimally invasive cosmetic procedure. Modern teeth whitening techniques are designed to be gentle on your teeth and gums, reducing the risk of sensitivity and discomfort. Dentists in Costa Rica use advanced whitening agents and techniques to ensure patient comfort. The procedure typically involves applying a bleaching gel to the teeth and activating it with a special light. This process is efficient and generally painless, making it a popular choice for those seeking a brighter smile.
Experience Fast Results
One of the most appealing aspects of teeth whitening is the speed at which you can see results. Professional treatments offer instant gratification, often producing visible whitening effects within a single session. Unlike at-home methods, professional treatments use higher concentrations of whitening agents, leading to faster and more dramatic improvements. In Costa Rica, many clinics offer same-day teeth whitening, which allows you to enjoy a dramatically improved smile before returning home. This speed is a key benefit for those looking for a quick transformation.
Long-Lasting Results
While teeth whitening isn’t permanent, the results can last for a significant amount of time, typically ranging from several months to a few years. The longevity of the results depends on factors such as your oral hygiene habits, diet, and lifestyle choices. Dentists in Costa Rica often provide guidance on how to maintain your bright smile, including tips on avoiding staining foods and drinks. With proper care, you can enjoy a beautifully white smile for an extended period.
Cost-Effectiveness and Affordability

One of the main reasons people choose Costa Rica for teeth whitening is the cost-effectiveness and affordability. Compared to the United States and other developed countries, the cost of dental procedures in Costa Rica is significantly lower. This affordability doesn’t compromise quality; it allows you to access high-quality dental care without straining your budget. This makes teeth whitening a realistic option for many people looking to enhance their smiles.
Comparing Prices
When comparing prices, it’s essential to consider the overall value you receive. While the initial cost of teeth whitening in Costa Rica is lower, you also get access to experienced dentists, state-of-the-art technology, and a vacation experience. The cost savings allow you to invest in other cosmetic dental treatments and still save money compared to undergoing the same procedures elsewhere. Always compare the prices carefully, but also assess the level of service, expertise, and the clinic’s reputation.
Value for Money
Teeth whitening in Costa Rica offers excellent value for money. Not only do you receive a high-quality cosmetic procedure, but you also get to enjoy a relaxing vacation in a beautiful country. The combination of exceptional dental care and an enjoyable travel experience makes it an outstanding value. You are investing in your smile and creating lasting memories. The overall value proposition extends beyond the immediate benefits of a whiter smile. It includes an enjoyable and affordable dental tourism experience.
Superior Dental Care in Costa Rica

Costa Rica has a well-established reputation for providing superior dental care. The country has invested heavily in dental technology and training, ensuring dentists are highly skilled and equipped with the latest tools. Choosing Costa Rica for teeth whitening guarantees you receive top-notch care in a comfortable and professional environment. You can trust the expertise of the dentists to provide excellent results while prioritizing your comfort and satisfaction. Patients often report exceptional experiences due to the combination of skill, technology, and patient care.
The Role of Experienced Dentists
The quality of your teeth whitening treatment depends heavily on the expertise of the dentist. Costa Rican dentists are renowned for their skills and experience in cosmetic dentistry. They have undergone extensive training and often continue to refine their skills through ongoing education and advanced certifications. Choosing a highly experienced dentist ensures a successful teeth whitening treatment and minimizes the risk of complications. You will also benefit from their expertise in understanding your specific needs and expectations.
State-of-the-Art Technology & Techniques
Dentists in Costa Rica utilize state-of-the-art technology and the latest techniques in teeth whitening. This includes using advanced bleaching agents and specialized lighting systems to achieve optimal results. These cutting-edge tools ensure the treatment is efficient and effective, with minimal discomfort. The combination of experienced dentists and advanced technology leads to superior outcomes. The commitment to technological advancement reflects the dental industry’s dedication to providing the best possible care.
