What is Geha Dental Teeth Whitening?
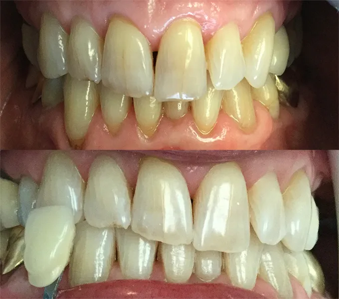
Geha Dental teeth whitening is a popular cosmetic dentistry procedure designed to lighten the shade of your teeth, removing stains and discoloration to reveal a brighter, more confident smile. Discoloration can occur due to various factors, including aging, genetics, the consumption of staining foods and beverages like coffee, tea, and red wine, and smoking. Geha Dental offers professional teeth whitening solutions that are significantly more effective than over-the-counter options, providing noticeable and long-lasting results. This process typically involves the use of bleaching agents that break down stain molecules, restoring your teeth to their natural brilliance. With Geha Dental’s expertise, you can achieve a noticeably whiter and more attractive smile, improving your self-esteem and overall appearance. The procedure is performed by experienced dental professionals who ensure both effectiveness and safety.
How Geha Dental Whitening Works
Geha Dental teeth whitening employs advanced techniques to effectively eliminate stains and brighten your smile. The process generally involves a thorough examination of your teeth to assess the type and extent of staining, ensuring the most suitable treatment approach. Professional whitening treatments usually utilize a higher concentration of bleaching agents, such as hydrogen peroxide or carbamide peroxide, compared to home kits. These agents penetrate the enamel and dentin of your teeth, breaking down the stain molecules and lifting away discoloration. Geha Dental ensures patient comfort throughout the process, often using protective measures such as gum shields to prevent irritation. After the treatment, you can expect to see immediate and significant improvement in the brightness of your teeth. The entire procedure, from consultation to completion, is handled with precision and care, guaranteeing optimal results and a positive patient experience.
Fact 1 Overview of the Whitening Process

The Geha Dental teeth whitening process begins with a comprehensive consultation to determine the patient’s needs and goals. This includes a thorough examination of the teeth and gums to ensure they are healthy and suitable for whitening. The dentist will then explain the whitening options available, including in-office treatments and take-home kits. For in-office whitening, a protective barrier is applied to the gums to prevent irritation. A whitening agent is then applied to the teeth, and a special light or laser may be used to accelerate the process. The procedure typically takes about an hour, with multiple applications of the whitening agent. For take-home kits, custom-fitted trays are created, and the patient is instructed on how to apply the whitening gel at home. The dentist will provide detailed instructions and monitor the progress to ensure the best results and minimize any potential sensitivity.
Fact 2 Types of Geha Dental Whitening Treatments
Geha Dental offers two primary types of teeth whitening treatments designed to meet diverse needs and preferences. The first is in-office whitening, which provides immediate results under the direct supervision of a dental professional. This method uses a powerful whitening agent, and the procedure is often completed in about an hour. The second option is at-home whitening kits, which are customized to fit the patient’s teeth. These kits include custom-fitted trays and a lower-concentration whitening gel, which is used over a period of time to gradually lighten the teeth. Both options provide effective whitening, but the choice depends on factors such as the severity of the staining, the patient’s sensitivity, and their preference for convenience and cost.
In-Office Whitening
In-office teeth whitening at Geha Dental is a fast and efficient method for achieving a brighter smile. This treatment involves the application of a high-concentration whitening agent to the teeth while under professional supervision. The procedure typically starts with the dentist protecting the gums and soft tissues with a special barrier. The whitening agent is then applied to the teeth, and in some cases, a special light or laser is used to enhance the whitening effect. The entire process takes about an hour and provides immediate, noticeable results. This method is ideal for patients who want quick and dramatic improvements in their teeth’s appearance and prefer the assurance of professional care and expertise.
At-Home Whitening Kits

At-home whitening kits from Geha Dental offer a convenient and cost-effective way to whiten your teeth in the comfort of your own home. These kits typically include custom-fitted trays designed to perfectly fit your teeth, and a lower-concentration whitening gel. The dentist will provide clear instructions on how to use the trays and gel, including how long to wear them each day and for how long. This method requires patience, as results are achieved gradually over a period of weeks. Regular check-ups with your dentist ensure your progress is monitored and any potential issues are addressed promptly. At-home kits offer flexibility, allowing you to whiten your teeth according to your schedule and lifestyle, while still achieving a brighter, more confident smile.
Fact 3 Benefits of Geha Dental Whitening
Geha Dental teeth whitening offers numerous benefits that extend beyond a brighter smile. The primary advantage is the significant improvement in the appearance of your teeth, which can dramatically boost your self-esteem and confidence. A whiter smile often creates a more youthful and vibrant look, making you feel more attractive and self-assured in social and professional settings. Beyond aesthetics, teeth whitening can also motivate better oral hygiene practices. Seeing the improved results may encourage you to maintain a consistent routine of brushing, flossing, and regular dental check-ups, leading to healthier teeth and gums. Furthermore, a brighter smile can leave a positive lasting impression on others, enhancing your overall social interactions and opportunities.
Fact 4 Cost of Geha Dental Whitening
The cost of Geha Dental teeth whitening varies depending on several factors, including the type of treatment chosen and the specific needs of the patient. In-office whitening, which provides immediate results, typically has a higher price tag compared to at-home whitening kits. The total cost may also be affected by the extent of the staining and the number of treatments needed to achieve the desired results. It’s important to consult with Geha Dental to get a personalized estimate. While professional teeth whitening can be more expensive than over-the-counter options, the benefits of professional expertise and more effective results often make it a worthwhile investment. Financing options may be available to make the treatment more accessible and manageable.
Factors Affecting Cost

Several factors influence the cost of Geha Dental teeth whitening. The most significant determinant is the type of whitening treatment selected. In-office treatments, which offer immediate results, typically involve a higher initial investment than take-home kits. The severity of the discoloration and the number of sessions required to achieve the desired level of brightness also contribute to the overall cost. Additionally, the location of the dental practice and any specialized technologies used can affect the price. It’s advisable to get a detailed quote from Geha Dental, considering all these factors, to understand the total cost and make an informed decision. Some dental insurance plans may cover a portion of the cost, especially if the whitening is deemed medically necessary.
Fact 5 What to Expect After Whitening
After undergoing Geha Dental teeth whitening, it’s important to follow specific guidelines to maintain your bright, new smile. You may experience some temporary sensitivity in your teeth, which is usually manageable with over-the-counter pain relievers. You’ll need to avoid foods and drinks that can stain your teeth, such as coffee, tea, red wine, and dark-colored berries, for the first few days after the procedure. Regular dental hygiene practices, including brushing twice a day and flossing daily, are crucial for preserving your results. Also, scheduling regular check-ups and cleanings with Geha Dental will help maintain your teeth’s brightness. By adhering to these post-whitening care instructions, you can enjoy a long-lasting, radiant smile.
Tips for Maintaining a Bright Smile
To maintain your newly whitened smile after Geha Dental treatment, it’s crucial to adopt a few key habits. Minimize or avoid foods and drinks known to stain teeth, such as coffee, tea, red wine, and dark-colored berries. If you do consume these items, rinse your mouth with water immediately afterward. Practice good oral hygiene by brushing your teeth at least twice a day with a whitening toothpaste and flossing daily to remove plaque and prevent stains. Regular dental check-ups and cleanings at Geha Dental are essential to remove any superficial stains and maintain your bright smile. Consider using a straw for beverages that can stain your teeth to minimize direct contact. Avoiding smoking and using tobacco products also plays a significant role in keeping your teeth white. By following these practices, you can significantly extend the lifespan of your whitening results.
Potential Side Effects

While Geha Dental teeth whitening is generally safe, some potential side effects can occur. The most common side effect is temporary tooth sensitivity, which typically subsides within a few days after the treatment. Some patients may experience mild gum irritation or inflammation. These side effects are usually mild and resolve quickly. To minimize potential issues, it’s essential to follow your dentist’s instructions carefully. If you experience any severe or prolonged discomfort, contact Geha Dental immediately. In rare cases, the whitening agent may irritate existing dental work such as fillings or crowns, but this is uncommon. Overall, the benefits of a brighter smile generally outweigh the minor, temporary side effects associated with teeth whitening.
Conclusion
Geha Dental teeth whitening offers a safe and effective way to transform your smile, boosting your confidence and improving your overall appearance. With various options available, including in-office and at-home treatments, Geha Dental caters to diverse needs and preferences. Understanding the process, benefits, and cost, along with maintaining proper oral hygiene, ensures long-lasting results. Consider consulting with Geha Dental to explore how teeth whitening can help you achieve a brighter, more radiant smile.
