Understanding Teeth Whitening Redding CA
If you’re looking to enhance your smile, teeth whitening in Redding CA offers a fantastic solution. This process, also known as teeth bleaching, involves lightening the shade of your teeth to remove stains and discoloration. It’s a popular cosmetic dentistry procedure that can significantly boost your confidence and improve your overall appearance. The effectiveness of teeth whitening depends on various factors, including the cause of the discoloration and the chosen method. In Redding, CA, several options are available, ranging from professional treatments at dental offices to convenient at-home kits. Understanding the different techniques and their benefits will help you choose the best approach for a brighter, more radiant smile. Seeking professional guidance from a qualified dentist in Redding is always recommended to ensure the safety and effectiveness of the procedure.
What Causes Tooth Discoloration?
Before diving into teeth whitening options in Redding CA, it’s crucial to understand the causes of tooth discoloration. Teeth can change color due to various factors, affecting the enamel and dentin. The enamel, the outer layer of the tooth, is naturally white but can become stained by external elements. The dentin, the layer beneath the enamel, is yellowish, and its visibility increases as the enamel thins. Understanding these elements is essential for determining the right whitening treatment. Discoloration can range from surface stains to deeper, intrinsic stains. Recognizing the causes will guide you in choosing the appropriate whitening method in Redding and maintaining the results long term.
Common Causes of Tooth Staining

Several factors commonly contribute to tooth staining. Dietary choices, such as consuming coffee, tea, red wine, and dark-colored berries, can leave stains on the teeth. Tobacco use, including smoking and chewing tobacco, is another major contributor to discoloration. Poor oral hygiene, such as inadequate brushing and flossing, allows stains to accumulate. Aging also plays a role, as the enamel thins over time, and the yellowish dentin becomes more visible. Certain medications, such as tetracycline, can cause intrinsic staining, which is more challenging to treat. Recognizing these common causes will help you prevent staining and maintain a bright smile with appropriate care and teeth whitening in Redding CA.
Dietary Choices and Staining
Your diet significantly impacts the color of your teeth. Certain foods and drinks are notorious for causing stains. Coffee and tea contain tannins, compounds that can bind to the enamel and cause discoloration. Red wine also contains tannins and chromogens, which contribute to staining. Dark-colored berries, such as blueberries and blackberries, can leave stains due to their pigments. Carbonated beverages, especially those with dark colors, can erode enamel, making teeth more susceptible to staining. To minimize staining, it’s advisable to consume these items in moderation and rinse your mouth with water after consumption. Additionally, regular brushing and professional teeth whitening in Redding CA can help counteract the effects of these dietary choices.
Lifestyle Habits and Tooth Color
Beyond dietary choices, lifestyle habits play a crucial role in the appearance of your teeth. Tobacco use, including smoking and chewing tobacco, is a major culprit. The nicotine and tar in tobacco products stain the teeth, causing yellowing and brown discoloration. Poor oral hygiene habits, such as infrequent brushing, flossing, and failing to use mouthwash, allow stains to accumulate and worsen the color of your teeth. Prolonged exposure to certain substances, like fluoride in excessive amounts, can also cause staining or discoloration. Adopting a healthy lifestyle, including quitting smoking, practicing good oral hygiene, and considering professional teeth whitening in Redding CA, can significantly improve and maintain the brightness of your smile.
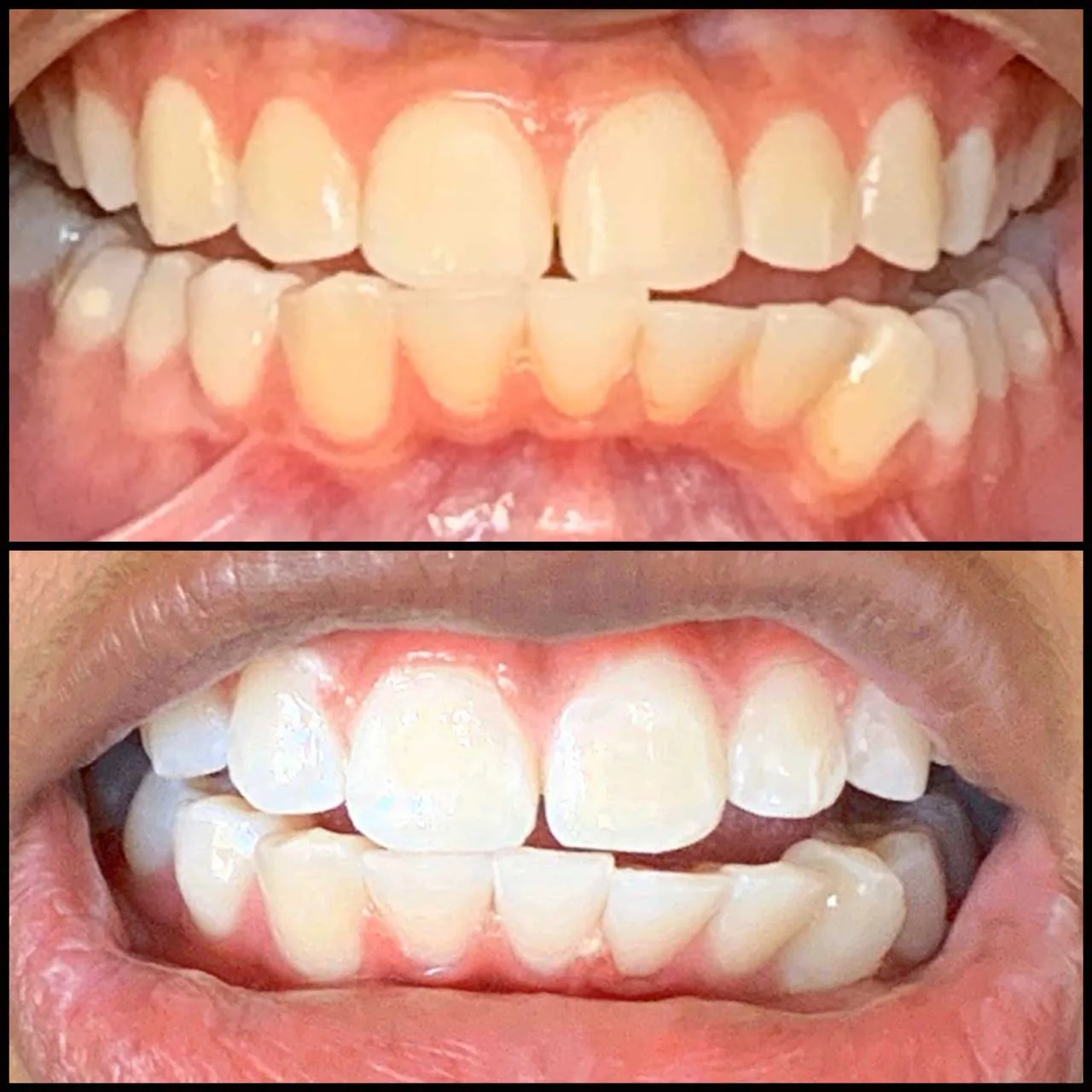
Professional Teeth Whitening Options in Redding CA

If you’re seeking the most effective and reliable teeth whitening in Redding CA, professional treatments at a dentist’s office are often the best choice. These treatments use stronger bleaching agents than those available in over-the-counter products and are administered under the supervision of dental professionals. This ensures both effectiveness and safety. Your dentist can assess the condition of your teeth and gums to determine the most appropriate whitening method. Professional treatments are ideal for those seeking dramatic results quickly and may also be recommended for individuals with significant staining or discoloration. The benefits include faster results, customized treatment plans, and the assurance of professional care. Several dental clinics in Redding offer various professional teeth whitening services, so research and find a trusted provider.
In-Office Whitening Procedures
In-office teeth whitening procedures in Redding CA typically involve a few key steps. First, your dentist will examine your teeth and gums to ensure they are healthy and suitable for the treatment. Then, a protective barrier, such as a gel or rubber shield, will be applied to your gums to protect them from the bleaching agent. The whitening agent, usually a hydrogen peroxide solution, will be applied to the teeth, and a special light or laser might be used to activate the bleaching process and accelerate the whitening. This process may be repeated several times during a single session, and the entire procedure typically takes about an hour or two. The results are often noticeable immediately, providing a significant improvement in the brightness of your smile. After the treatment, your dentist will provide aftercare instructions to maintain the results.
Benefits of Professional Whitening
Professional teeth whitening in Redding CA offers several advantages over at-home methods. The treatments are performed under professional supervision, ensuring safety and effectiveness. Dentists use higher concentrations of bleaching agents, leading to faster and more dramatic results. The procedures are tailored to your specific needs, addressing the type and severity of your stains. Professional whitening also includes a thorough examination of your oral health, allowing your dentist to identify any underlying issues. The benefits extend beyond aesthetics, as a brighter smile can boost self-confidence and improve your overall appearance. Furthermore, dentists can provide guidance on maintaining your results, helping you achieve long-term smile enhancements. For those seeking the best results, professional teeth whitening is the superior choice.
At-Home Teeth Whitening Kits and Options

For those seeking a more convenient and budget-friendly alternative, at-home teeth whitening kits and options are available in Redding CA. These kits typically contain whitening strips, trays, or gels that you can use at home. They usually contain lower concentrations of the bleaching agents compared to professional treatments, making them safer for unsupervised use, but often resulting in less dramatic effects. When considering at-home options, it’s important to follow the instructions carefully and choose products from reputable brands. Consult with your dentist before using any at-home whitening product to ensure it’s appropriate for your dental health. While at-home kits can be effective for minor stains, they might not be suitable for severe discoloration. Proper usage and understanding of the limitations are key to achieving the best results.
Over-the-Counter Whitening Products
Over-the-counter whitening products are widely accessible in Redding CA, offering a range of options for teeth whitening. These products include whitening strips, toothpastes, and mouthwashes. Whitening strips are easy to use and often provide noticeable results within a few weeks. Whitening toothpastes contain mild abrasives and chemicals that help remove surface stains, but they typically offer only minimal whitening effects. Whitening mouthwashes can help maintain the brightness of your teeth and freshen breath. While these products are generally safe, it’s important to read the labels and follow the instructions carefully. They are best suited for those with minor staining or for maintaining the results of professional whitening. Be aware that excessive use of abrasive whitening products can damage enamel over time. Consider these options as a starting point or a supplement to a more comprehensive whitening plan.
Custom Tray Whitening
Custom tray whitening offers a middle ground between professional and over-the-counter options in Redding CA. This method involves your dentist taking impressions of your teeth and creating custom-fitted trays. You then use these trays at home with a professional-strength whitening gel provided by your dentist. This approach offers several advantages, including a more effective whitening process than over-the-counter products and the professional guidance of your dentist. Custom trays ensure even coverage of the whitening agent and minimize the risk of gum irritation. Your dentist can also monitor your progress and adjust the treatment as needed. While more expensive than over-the-counter options, custom tray whitening provides a more effective and safer solution than many at-home kits. It represents an excellent balance of convenience, effectiveness, and professional support, making it a popular choice for many seeking teeth whitening in Redding.
Maintaining Your Bright Smile After Whitening

After achieving a brighter smile with teeth whitening in Redding CA, maintaining the results is crucial. Following proper oral hygiene practices and adopting a healthy lifestyle can significantly extend the effects of your treatment. Regular brushing at least twice a day and flossing daily are essential for removing plaque and preventing stains from reoccurring. Visiting your dentist for regular check-ups and cleanings can help remove any surface stains and ensure the health of your teeth and gums. Avoiding staining foods and drinks, such as coffee, tea, and red wine, can also help maintain your bright smile. Regular touch-up treatments may be necessary to maintain the results, depending on your lifestyle and oral habits. With proper care and maintenance, your investment in teeth whitening in Redding can provide long-lasting benefits.
Best Practices for Long-Term Whitening
To maximize the longevity of your teeth whitening results in Redding CA, it’s essential to adopt a comprehensive approach. Prioritize excellent oral hygiene by brushing your teeth with a whitening toothpaste twice daily and flossing at least once a day. Consider using a straw when drinking staining beverages like coffee or tea to minimize contact with your teeth. Quit smoking and avoid chewing tobacco, as these habits contribute to significant discoloration. Schedule regular dental check-ups and professional cleanings to remove surface stains and monitor your oral health. Consider touch-up treatments as recommended by your dentist to maintain the brightness of your teeth. By consistently practicing these best practices, you can keep your smile looking radiant and fresh for years to come, ensuring that your investment in teeth whitening in Redding CA provides enduring value.
Foods and Drinks to Avoid
Certain foods and drinks can quickly undo the effects of teeth whitening in Redding CA. To protect your investment, it’s important to limit or avoid these items. Coffee, tea, and red wine are notorious for staining teeth due to their high tannin content. Dark-colored sodas and fruit juices can also cause discoloration. Berries, such as blueberries, blackberries, and raspberries, contain pigments that can stain your teeth. Tomato-based sauces and curries can also contribute to staining. Additionally, tobacco products should be avoided, as they are major culprits in tooth discoloration. By limiting your exposure to these staining agents, you can significantly prolong the brightness of your smile and maintain the results of your teeth whitening treatment in Redding, CA.
Oral Hygiene for a Lasting Effect

Maintaining excellent oral hygiene is fundamental to preserving the results of your teeth whitening in Redding CA. Brush your teeth thoroughly at least twice a day with a fluoride toothpaste, ensuring you reach all surfaces. Floss daily to remove plaque and food particles from between your teeth and under your gum line. Rinse with an antiseptic mouthwash to kill bacteria and freshen breath. Consider using a whitening toothpaste to help maintain the brightness of your teeth. Schedule regular dental check-ups and professional cleanings to remove any surface stains and maintain the health of your teeth and gums. Consistent oral hygiene practices not only protect your bright smile but also contribute to your overall oral health and well-being, extending the benefits of your teeth whitening treatment.
