What is the Teeth Whitening Craze Hype?
The teeth whitening craze has taken the world by storm, with countless individuals seeking that perfect, dazzling smile. It’s become a significant trend, driven by social media, celebrity endorsements, and the desire for a youthful appearance. The allure of a brighter smile is undeniable, influencing everything from personal confidence to professional success. The market has responded with a plethora of options, ranging from over-the-counter products to professional treatments, all promising to deliver dramatic results. This widespread popularity stems from the immediate and noticeable impact that teeth whitening can have, transforming a dull smile into a radiant one and this can leave a lasting impression. Understanding this initial hype is crucial before diving into the specific aspects of teeth whitening, especially when considering factors like craze lines.
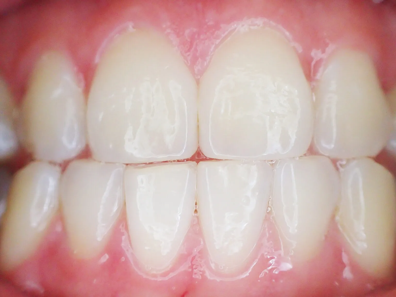
Understanding Craze Lines and Discoloration
Craze lines, those tiny, hairline fractures that appear on the surface of your teeth, are a common concern. They are often caused by everyday wear and tear, biting hard foods, or even teeth grinding. These lines can trap stains, making teeth appear discolored and affecting the outcome of whitening treatments. The presence of craze lines can complicate the whitening process, as they may absorb the bleaching agents differently, leading to uneven results. Understanding the impact of craze lines is crucial because the aesthetic impact of the craze lines can be different for each person, it is also a primary factor to consider when planning your teeth whitening journey. Moreover, recognizing these lines helps manage expectations and determine the most suitable whitening approach.
The Science Behind Teeth Whitening

Teeth whitening works by using bleaching agents, typically hydrogen peroxide or carbamide peroxide, to break down the stain molecules within the enamel. These agents penetrate the enamel and dentin layers, oxidizing the discolored pigments. The process doesn’t remove the tooth’s structure; rather, it changes the chemical composition of the stains, making them less visible. The effectiveness of this process can vary based on the concentration of the bleaching agent, the duration of exposure, and the individual’s tooth structure. Moreover, the science behind it is fascinating; The bleaching agent doesn’t simply ‘whiten’ the teeth, it transforms the stain particles. The understanding of these scientific principles is fundamental to appreciating the process and making informed choices about teeth whitening.
How Whitening Works
Whitening treatments, whether professional or at-home, utilize similar principles. In professional settings, dentists apply higher concentrations of bleaching agents, often combined with special lights or lasers to accelerate the process. At-home kits typically involve lower concentrations, applied using custom-fit trays or strips. The key is the interaction of the bleaching agent with the stain molecules. The agent diffuses into the enamel, breaking down the stain particles and, effectively, lightening the tooth’s shade. The effectiveness of each method depends on the strength of the agent, the length of exposure, and individual factors like the type and severity of stains. Careful adherence to instructions is essential to achieve the best possible results and avoid complications.
Types of Teeth Whitening Treatments
There is a wide range of teeth whitening treatments available, each with its advantages and drawbacks. These treatments range from in-office procedures performed by a dentist to over-the-counter options you can use at home. These choices can be overwhelming. The best treatment option is influenced by many factors including your budget, the severity of the discoloration, and the existence of craze lines. Understanding each type helps you make an informed decision, balancing effectiveness, convenience, and cost.
Professional Whitening Options

Professional teeth whitening offers the most potent and immediate results. Dentists use high concentrations of bleaching agents, carefully applied to protect the gums and accelerate the whitening process. In-office treatments can brighten your teeth several shades in a single visit. The dentist may use specialized lights or lasers to boost the bleaching effect. They are best suited for those with significant discoloration or who want fast results. The dentist also can identify pre-existing dental issues and address any potential problems before beginning the procedure. While more expensive, professional whitening offers the highest level of safety and effectiveness, along with the personalized guidance of a dental professional.
At-Home Whitening Kits
At-home whitening kits provide a convenient and budget-friendly alternative. These kits typically include custom-fit trays or strips filled with a lower concentration of bleaching agent. You apply the agent at home, following instructions for the duration of exposure. The results are gradual, taking several days or weeks to achieve the desired shade. This method offers greater flexibility and cost savings but may not be as effective for severe stains. Careful adherence to instructions is crucial to avoid side effects and achieve optimal results. Before starting an at-home treatment, consulting your dentist is recommended to assess your suitability and address any potential issues.
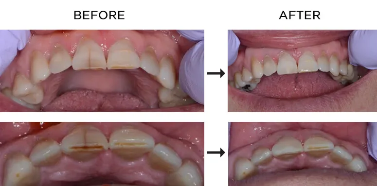
Craze Lines Effects on Whitening
The presence of craze lines can influence the effectiveness of teeth whitening treatments. These tiny cracks can trap stains, making them resistant to bleaching agents. The agent may not penetrate the enamel evenly around the lines, resulting in an uneven whitening effect. The appearance of craze lines may become more prominent after whitening, as the surrounding enamel becomes brighter. To mitigate these effects, your dentist might recommend stronger bleaching agents, longer treatment durations, or even porcelain veneers to cover the craze lines. The effects may vary on each individual. For these reasons, a dentist’s assessment is vital to plan a tailored approach to teeth whitening, ensuring a more uniform and attractive outcome.
The Impact of Craze Lines on Teeth Whitening

Craze lines influence the aesthetic outcome of teeth whitening. The bleaching agents may not evenly penetrate the tooth surface where craze lines are present, thus resulting in some parts of the teeth being whitened more than others. This leads to an uneven, sometimes patchy, appearance. In some cases, the craze lines might also make your teeth more sensitive to temperature changes. To avoid the uneven impact, your dentist may use special techniques like microabrasion to help blend the craze lines with the surrounding enamel. Moreover, it’s vital to be aware of these issues before beginning any whitening treatment, as it may affect your expectations. A dentist can offer solutions that minimizes the effect of craze lines, such as custom whitening trays that direct the bleaching agent evenly across the tooth surface.
Factors Affecting Whitening Effectiveness
Several factors influence the effectiveness of teeth whitening. The type and severity of stains play a significant role. Surface stains from coffee, tea, and tobacco are easier to remove than intrinsic stains, such as those caused by medications. Your natural tooth shade also impacts the outcome; some people have teeth that respond more readily to whitening agents. Moreover, the concentration of the bleaching agent and the duration of treatment are critical. Following the instructions is important. Other factors include your overall oral health, your adherence to oral hygiene practices, and the presence of dental restorations like fillings or crowns, which do not whiten. Understanding these factors will help you select the most effective whitening treatment and manage expectations.
Lifestyle Choices and Teeth Whitening
Lifestyle choices significantly affect the longevity and effectiveness of teeth whitening. Consuming staining foods and beverages, such as coffee, tea, red wine, and berries, can darken your teeth, undoing the whitening process. Smoking and chewing tobacco can also cause significant discoloration. Maintaining a proper oral hygiene routine, including regular brushing, flossing, and dental check-ups, is essential for preserving your white smile. Avoiding these habits will help maintain the results of your whitening treatment. It’s about adopting a lifestyle that promotes a healthy, radiant smile and also helps maintain the results of teeth whitening for as long as possible. Education in dietary habits can also enhance the impact of your teeth whitening procedure.
Best Practices for a Brighter Smile

To achieve and maintain a brighter smile, incorporating the best practices in your daily routine is essential. Regular brushing at least twice a day and flossing once a day are fundamental. Using a whitening toothpaste can help remove surface stains, but it’s important to note that these toothpastes may not significantly alter your tooth’s intrinsic color. Furthermore, maintaining regular dental check-ups and cleanings every six months is vital for removing plaque and tartar, which can affect the appearance of your teeth. Avoiding staining foods and drinks and quitting smoking or chewing tobacco will also help. These habits complement your whitening treatment, resulting in a healthier and more attractive smile. Proper dental hygiene also promotes long-term dental health.
Oral Hygiene Routine and Teeth Whitening
A solid oral hygiene routine is indispensable for complementing and prolonging the effects of teeth whitening. This entails brushing your teeth with fluoride toothpaste for two minutes, twice a day. Flossing daily is crucial for removing plaque and food particles from areas the toothbrush cannot reach, preventing staining and promoting gum health. Using a mouthwash can further reduce bacteria and freshen your breath. After teeth whitening, consider using a toothpaste designed for sensitive teeth, if you experience sensitivity. Regular dental check-ups and professional cleanings are vital for maintaining overall oral health and ensuring your teeth remain bright and healthy, also it helps to detect and address dental concerns like craze lines before they affect the effectiveness of your whitening treatment.
Maintaining Your White Smile
After undergoing a teeth whitening procedure, taking steps to maintain your new, brighter smile is critical. Limit your consumption of staining foods and drinks, and rinse your mouth with water after consuming these. Use a straw when drinking beverages like coffee, tea, or soda. Continue your routine oral hygiene, and schedule follow-up appointments with your dentist. You may also want to consider touch-up whitening treatments as recommended by your dentist. Proper maintenance will not only enhance the longevity of your whitened teeth but also improve your overall oral health, contributing to a confident, radiant smile for years to come. Regular maintenance promotes healthy gums and healthy teeth.
Craze Lines and Long-Term Care

Long-term care involves managing the impact of craze lines on your teeth. Your dentist can provide professional advice and maintenance to ensure long-term success. This may involve more frequent cleanings or the use of special polishing treatments to smooth the tooth surface and minimize the appearance of craze lines. The dentist may recommend the use of desensitizing toothpaste to ease any discomfort or sensitivity. Consistent home care is also important. Regular follow-up visits to your dentist are essential, as they can assess the condition of your teeth and suggest additional procedures, like cosmetic bonding or veneers, if necessary. Taking proactive steps is important to both your oral health and the appearance of your smile.
Potential Side Effects and Solutions
Teeth whitening, while generally safe, can cause side effects. The most common is tooth sensitivity, which often occurs during or after the treatment. It usually fades within a few days. Another potential effect is gum irritation, which can result from contact with the bleaching agent. There are several solutions to these problems. Using a desensitizing toothpaste containing potassium nitrate can help reduce sensitivity. Using a mouthguard or tray during the procedure protects the gums from irritation. If these side effects persist, consult your dentist, who may recommend adjusting the treatment or using a different whitening method. Always consult with a dental professional before you proceed with any dental procedure.
Tooth Sensitivity and Whitening
Tooth sensitivity is a frequent side effect of teeth whitening. It happens when the bleaching agent penetrates the enamel, affecting the nerves. This can cause temporary discomfort when consuming hot, cold, sweet, or acidic foods and drinks. However, the sensitivity typically subsides within a few days after treatment. You can take several actions to manage the sensitivity, such as using a desensitizing toothpaste before and after whitening. Avoid very hot or cold foods and beverages. If you have persistent sensitivity, consider postponing the treatment or adjusting the strength of the bleaching agent. Your dentist may also recommend a fluoride treatment to strengthen the enamel and reduce sensitivity. Proper management can make your whitening experience more comfortable.
Is Teeth Whitening Right for You?

Deciding if teeth whitening is right for you involves weighing several factors. Assess your current dental health and discuss any concerns with your dentist. Those with healthy teeth and gums and who have realistic expectations for the results are generally good candidates. Individuals with significant tooth discoloration, such as those from staining foods or aging, often see substantial benefits. However, teeth whitening may not be suitable for everyone. Those with severe dental problems, such as active cavities, gum disease, or highly sensitive teeth, might need to address these issues first. People with extensive dental work might not benefit from the treatment. Consider your lifestyle habits, such as smoking and eating habits. Consulting your dentist is always the best first step to determine if teeth whitening is a safe and effective option.
Consulting with a Dentist
Consulting with a dentist is a vital step before undergoing teeth whitening. Your dentist can assess your oral health, identify existing dental problems, and evaluate if teeth whitening is suitable for you. They can explain the different whitening options and the potential benefits and risks, giving you personalized advice. Your dentist will also consider any existing dental work and can suggest the best approach. They can discuss the impact of craze lines and how to manage them. This consultation helps you make an informed decision and ensures the treatment aligns with your specific needs. Consulting with a dentist makes sure that your whitening experience is successful, safe, and provides results that meet your expectations. Proper planning can make your whitening journey successful.
Making an Informed Decision
Making an informed decision is essential for successful teeth whitening. Consider your goals, lifestyle, and budget, and discuss your expectations with your dentist. Research the different whitening treatments available and their potential benefits and risks. Understand the importance of oral hygiene before, during, and after treatment. Be aware of factors like craze lines and their effects. Understand that the outcome may vary, and results are not always the same for each individual. Consider all of the elements before making your decision. By considering your unique needs and carefully researching all of the options, you can achieve a beautiful, healthy smile that you will be proud to display.
