Understanding Teeth Whitening in Union Square
In the vibrant heart of New York City, Union Square offers a plethora of options for those seeking a brighter, more confident smile through teeth whitening. This cosmetic procedure has become increasingly popular, as people recognize the significant impact a dazzling smile can have on both personal and professional spheres. Whether you are a local resident or a visitor, understanding the nuances of teeth whitening in Union Square is crucial to making informed decisions about your oral health and appearance. Numerous dental practices in the area specialize in teeth whitening, providing a range of treatments to suit individual needs and preferences. This guide will delve into the specifics of teeth whitening, exploring everything from the basic principles to the advanced techniques available, helping you navigate your choices with confidence and achieve the radiant smile you desire.
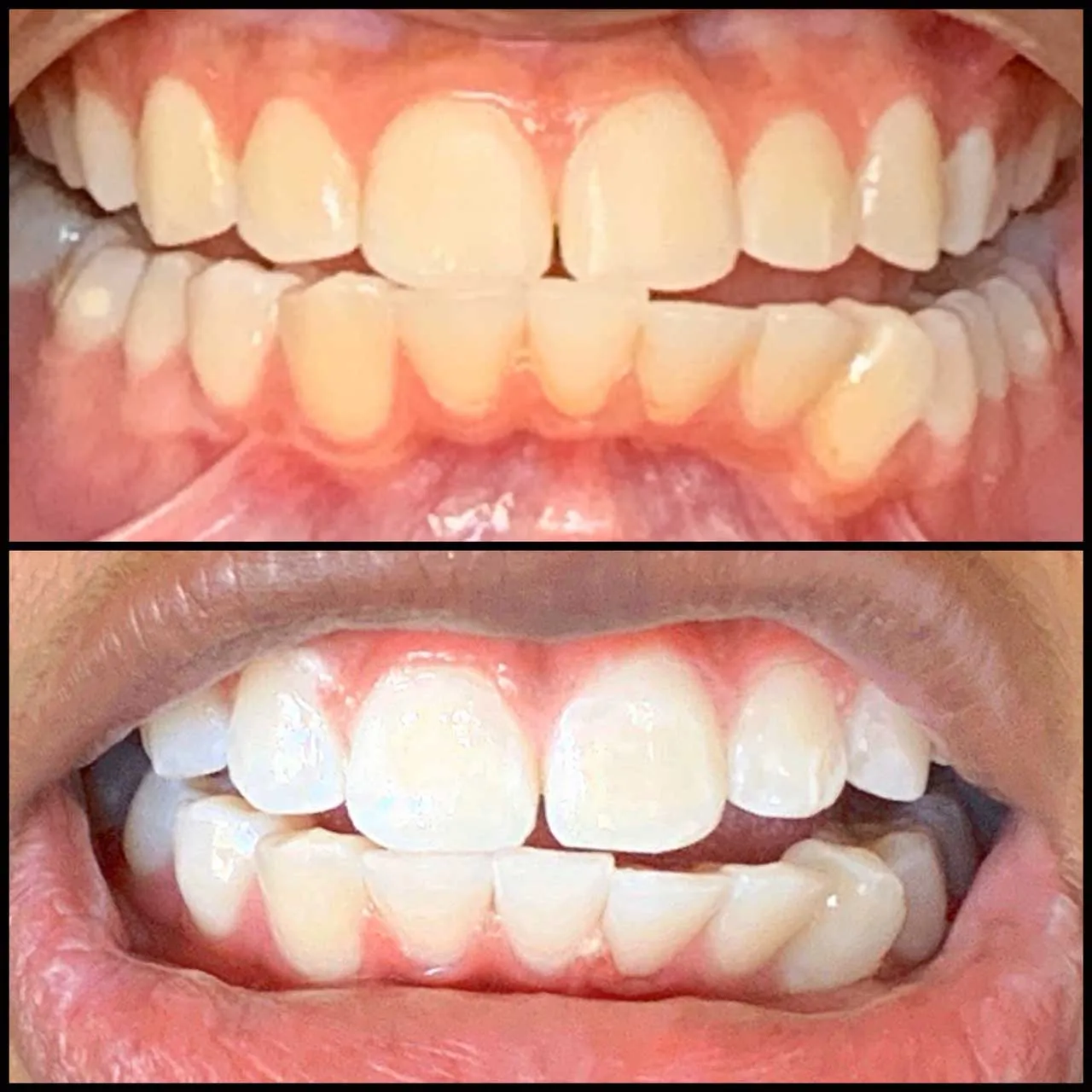
What is Teeth Whitening?
Teeth whitening, also known as tooth bleaching, is a cosmetic dental procedure designed to lighten the color of your teeth. It involves using a bleaching agent, typically containing hydrogen peroxide or carbamide peroxide, to remove stains and discoloration from the enamel. These stains can result from various factors, including the consumption of dark-colored foods and beverages such as coffee, tea, and red wine, as well as smoking and the natural aging process. The process works by breaking down the stain molecules, resulting in a brighter, more youthful appearance. Depending on the method used, teeth whitening can provide significant improvements in tooth color, often lightening teeth by several shades. The effectiveness of the treatment can vary based on the type of stains present, the concentration of the bleaching agent, and the duration of the treatment. Understanding the fundamentals of teeth whitening is the first step toward achieving a beautiful smile.
Benefits of Teeth Whitening

The benefits of teeth whitening extend far beyond mere aesthetics. While a brighter smile undoubtedly enhances your physical appearance, the advantages often ripple into other areas of your life. First and foremost, teeth whitening can significantly boost your self-esteem and confidence. Knowing that your smile looks its best can make you feel more comfortable and assured in social situations, helping you make a positive first impression. A whiter smile can make you look younger and more vibrant. Beyond the psychological benefits, teeth whitening is a relatively quick and non-invasive procedure. It can be an excellent way to refresh your look without undergoing more complex dental treatments. Moreover, professional teeth whitening procedures are often performed under the supervision of experienced dentists, ensuring safe and effective results. This can be a great way to get you motivated to take care of your teeth. Regular dental checkups and cleanings, along with a commitment to oral hygiene, can further enhance and prolong the benefits of teeth whitening.
The Top 5 Teeth Whitening Secrets in Union Square
Secret 1 Choosing the Right Whitening Method
Selecting the appropriate teeth whitening method is a crucial first step. The options range from professional treatments performed by dentists in Union Square to over-the-counter products. The most suitable approach depends on your individual needs, the extent of staining, and your budget. Professional teeth whitening, often utilizing stronger bleaching agents, offers quicker and more dramatic results under controlled conditions. In-office procedures can be customized to your specific needs. Over-the-counter options, such as whitening strips, toothpastes, and gels, are more affordable and readily available but may offer less pronounced effects. These products typically contain lower concentrations of the bleaching agent and require consistent use over a longer period. Consider a consultation with a dentist to evaluate your teeth and discuss the most effective and safest method for you. Your dentist can assess your oral health, identify any potential issues, and recommend a treatment plan tailored to your needs.
Professional vs. Over-the-Counter Options

Professional teeth whitening, administered by a dentist in Union Square, provides numerous advantages. Dentists use potent bleaching agents, often with concentrations of 15% to 40% hydrogen peroxide, leading to significantly faster and more visible results. In-office procedures also ensure the safety of the gums and surrounding tissues through careful application and monitoring. Custom-fitted trays, if used for at-home maintenance, are designed to fit your mouth perfectly, preventing leakage of the bleaching agent and reducing the risk of sensitivity. Over-the-counter options, on the other hand, are accessible and budget-friendly, but offer less dramatic outcomes. These products typically contain lower concentrations of bleaching agents, meaning it takes longer to see a noticeable difference. The effectiveness of over-the-counter products can vary. Furthermore, the lack of professional supervision increases the risk of misuse and potential side effects. The choice between professional and over-the-counter depends on your priorities and the desired level of whitening.
Secret 2 The Importance of a Consultation
A consultation with a dental professional is essential before undergoing any teeth whitening treatment. This initial meeting allows the dentist to assess your oral health, identify any underlying issues, and determine the suitability of teeth whitening for you. The dentist will examine your teeth for cavities, gum disease, and other conditions that could affect the outcome or safety of the procedure. During the consultation, the dentist will discuss your expectations, explain the different whitening options available, and recommend the most appropriate treatment plan based on your individual needs and goals. The consultation is also an opportunity to address any concerns you may have and to learn about the potential risks and benefits of teeth whitening. Thoroughly discussing your medical history, including any allergies or sensitivities, is crucial to ensure a safe and effective whitening experience. Moreover, the dentist can provide guidance on pre-treatment and post-treatment care to optimize your results and maintain a healthy smile.
What to Expect During a Consultation
During a teeth whitening consultation in Union Square, you can anticipate a comprehensive evaluation of your oral health and a discussion about your aesthetic goals. The dentist will start by examining your teeth and gums to assess their condition, looking for any signs of decay, gum disease, or existing dental work. This assessment is crucial because teeth whitening is most effective on healthy teeth and gums. The dentist will also evaluate the color of your teeth and discuss your desired shade of white. They may use a shade guide to help you visualize the potential results. You will be asked about your medical history, including any allergies or sensitivities, and any previous teeth whitening experiences. The dentist will explain the different whitening options available, including in-office procedures and at-home treatments, and recommend the most suitable option based on your needs and preferences. You will have the opportunity to ask questions and discuss the potential risks and benefits of each treatment. Before the procedure begins, the dentist will take photos to serve as a baseline for before-and-after comparisons. Overall, the consultation is a collaborative process designed to ensure you receive the safest and most effective teeth whitening treatment.
Secret 3 Maintaining Your White Smile

Maintaining your newly whitened smile requires consistent effort and a commitment to good oral hygiene practices. After undergoing teeth whitening, it’s essential to adopt habits that will help preserve the results and prevent future staining. Regular brushing and flossing are fundamental. Brushing your teeth at least twice a day and flossing once a day removes plaque and food particles, which can contribute to discoloration. Using a whitening toothpaste can also help maintain the brightness of your teeth by gently removing surface stains. However, avoid using abrasive toothpastes that could potentially damage your enamel. In addition to oral hygiene, avoiding or minimizing the consumption of staining foods and beverages is crucial. This includes coffee, tea, red wine, and dark-colored berries, among others. If you do consume these items, rinse your mouth with water immediately afterward to minimize staining. Regular dental checkups and professional cleanings every six months are essential to monitor your oral health and remove any accumulated stains that may affect your bright smile.
Post-Whitening Care Tips
Following teeth whitening, adhering to post-whitening care instructions is critical to ensure the longevity of your bright smile and minimize potential sensitivity. For the first 24 to 48 hours after treatment, it’s important to avoid foods and drinks that could stain your teeth. This includes coffee, tea, red wine, dark sodas, berries, and highly pigmented sauces. Instead, opt for a ‘white diet,’ consisting of foods like white rice, plain pasta, chicken, fish, and dairy products. Avoid smoking and using tobacco products, as they can quickly reverse the whitening effects and stain your teeth. Continue brushing twice daily with a soft-bristled toothbrush and flossing once a day. Use a toothpaste designed for sensitive teeth if you experience any discomfort. Drinking water frequently helps rinse away food particles and keeps your mouth hydrated. It’s also advisable to schedule a follow-up appointment with your dentist to monitor your results and address any concerns. Following these tips will help you maintain your dazzling smile and maximize the benefits of your teeth whitening treatment.
Secret 4 Addressing Sensitivity
Teeth sensitivity is a common side effect of teeth whitening, but it is typically temporary and manageable. Sensitivity occurs because the bleaching agent can penetrate the enamel and reach the dentin, which contains the nerve endings of the teeth. This can cause discomfort when exposed to hot, cold, sweet, or acidic substances. However, several strategies can help alleviate and minimize sensitivity. Using a toothpaste specifically designed for sensitive teeth, containing ingredients like potassium nitrate, can help block the nerve signals that cause pain. Avoid acidic foods and drinks, which can exacerbate sensitivity. Some dentists may recommend using a fluoride treatment before and after whitening to strengthen the enamel and reduce sensitivity. If sensitivity persists, consider taking over-the-counter pain relievers like ibuprofen. The duration of sensitivity varies from person to person, but it usually subsides within a few days to a couple of weeks. Informing your dentist of any sensitivity issues is important, as they can provide specific recommendations and ensure your comfort throughout the whitening process.
Managing Sensitivity After Treatment

To manage tooth sensitivity after a teeth whitening procedure, several strategies can be employed to ease discomfort and promote faster recovery. Firstly, use a toothpaste formulated for sensitive teeth. These toothpastes often contain ingredients like potassium nitrate, which help to block the nerve endings in your teeth, reducing sensitivity to hot, cold, sweet, and acidic stimuli. Secondly, avoid consuming extremely hot or cold foods and drinks for a few days after the treatment. Instead, opt for lukewarm options. Thirdly, refrain from acidic foods and beverages, such as citrus fruits, juices, and carbonated drinks, as they can irritate sensitive teeth. Drink plenty of water to stay hydrated and help rinse away any food particles. The dentist may also recommend a fluoride treatment to strengthen your enamel. Applying fluoride can help remineralize your teeth and reduce sensitivity. If the sensitivity is significant, over-the-counter pain relievers can be taken. If sensitivity persists beyond a few weeks, consult your dentist; they may offer other solutions.
Secret 5 Finding a Reputable Dentist
Choosing a reputable dentist is critical to the success and safety of your teeth whitening treatment in Union Square. A qualified and experienced dentist will ensure the procedure is performed correctly, minimizing the risk of complications and maximizing the results. When researching dentists, look for those with specific experience in cosmetic dentistry and teeth whitening. Check their credentials and verify their license with the relevant dental board. Read online reviews and testimonials from previous patients to get an idea of their reputation and the quality of their services. Schedule consultations with multiple dentists to discuss your goals, ask questions, and assess their communication style. Make sure the dentist uses high-quality products and follows established safety protocols. The office should be clean, well-equipped, and comfortable. A good dentist will thoroughly explain the teeth whitening process, including the risks and benefits, and answer all your questions honestly. Trust your instincts, and choose a dentist with whom you feel comfortable and confident. A positive relationship with your dentist will contribute to a more positive experience.
Checking Credentials and Reviews
Before entrusting your smile to a dentist in Union Square, it is imperative to check their credentials and reviews to ensure they are qualified and provide excellent service. Start by verifying their license with the New York State Board for Dentistry. This confirms that they have met the necessary educational and training requirements to practice dentistry. Look for dentists who have advanced training or certifications in cosmetic dentistry, such as accreditation from the American Academy of Cosmetic Dentistry. Reading online reviews from previous patients is essential. Sites like Google Reviews, Yelp, and Healthgrades offer valuable insights into a dentist’s reputation, the quality of their work, and their patient care. Pay attention to recurring themes in the reviews, both positive and negative. Assess the dentist’s responsiveness to patient concerns and the overall satisfaction levels of their patients. Check if the dentist has any malpractice claims or disciplinary actions filed against them. A reputable dentist will have a strong track record and a commitment to providing high-quality care. Take the time to do your research; it ensures a safe and successful teeth whitening experience.
Additional Considerations for Teeth Whitening

When considering teeth whitening in Union Square, several additional factors can influence your decision and the outcome of the procedure. Understanding these aspects will help you make informed choices and achieve the best possible results. The first is understanding the cost and the available financing options. Teeth whitening costs can vary widely depending on the type of treatment chosen. In-office procedures tend to be more expensive than at-home kits. Be sure to inquire about the total cost upfront and understand what is included, such as pre-treatment assessments and follow-up care. Ask about payment plans or financing options if the cost is a concern. Secondly, it’s important to manage expectations about the duration of results. While teeth whitening can provide dramatic improvements in tooth color, the results are not permanent. The longevity of the whitening effect depends on several factors, including your diet, oral hygiene habits, and whether you smoke or consume staining substances. Regular touch-up treatments may be needed to maintain your desired level of brightness. Considering all these aspects will allow you to make the best decisions.
Cost and Financing Options
The cost of teeth whitening in Union Square varies significantly based on the method and the dental practice. In-office whitening treatments are generally more expensive due to the professional expertise, advanced technology, and stronger bleaching agents employed. At-home whitening kits, available through your dentist or over-the-counter, typically cost less. When inquiring about the cost, ask for a detailed breakdown of all associated fees, including the initial consultation, any pre-treatment procedures, and follow-up appointments. Some dental practices offer payment plans or financing options to make teeth whitening more accessible. Discuss these options with your dentist to determine if they fit your budget. Consider insurance coverage, although teeth whitening is often considered a cosmetic procedure and may not be covered. Check with your insurance provider to understand your coverage. The dentist’s office can often provide assistance with insurance claims and financing arrangements. Comparing the costs of different treatments and dental practices in Union Square will enable you to make an informed decision that aligns with your financial situation and the desired level of whitening.
The Duration of Whitening Results
The duration of teeth whitening results is influenced by multiple factors. While teeth whitening can dramatically improve the brightness of your smile, the effects are not permanent. The longevity of your results depends heavily on your oral hygiene habits, dietary choices, and lifestyle. On average, professional teeth whitening can last from several months to up to three years, while at-home treatments may require more frequent touch-ups. Consuming staining foods and beverages, such as coffee, tea, red wine, and dark-colored berries, can accelerate the fading of the whitening effect. Smoking and tobacco use also significantly reduce the duration of results. Maintaining excellent oral hygiene, including regular brushing, flossing, and dental checkups, is crucial for prolonging your bright smile. Your dentist may recommend using a whitening toothpaste and touch-up treatments to maintain your desired level of brightness. The longevity of results can also vary depending on the type of whitening method used and your individual tooth structure. Be realistic about your expectations and be prepared for maintenance. With proper care and regular upkeep, you can enjoy the benefits of a beautifully whitened smile for an extended period.
