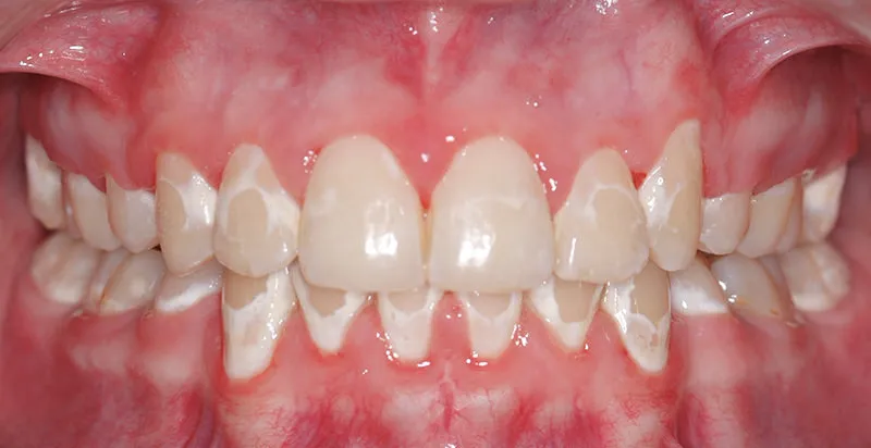
Understanding White Spots After Teeth Whitening
Teeth whitening is a popular cosmetic procedure, however, sometimes it can lead to undesirable side effects, such as white spots on teeth. These spots, also known as decalcification or hypocalcification, can appear after the procedure, causing concern for those who have undergone the whitening process. Understanding the causes and the facts surrounding these spots is crucial to manage expectations and make informed decisions about your dental health. These white spots are usually more noticeable immediately after whitening because the surrounding enamel has become lighter, thereby enhancing the contrast. It is important to be aware of these potential issues before proceeding with teeth whitening treatments.
What Causes White Spots After Whitening?
Several factors contribute to the formation of white spots after teeth whitening. These spots are essentially areas where the tooth enamel has been affected, resulting in a change in its mineral content. The process of teeth whitening can sometimes exacerbate existing conditions, leading to these noticeable imperfections. Knowing these causes can help individuals take preventative measures and manage their dental health proactively. Some of the most common causes are demineralization, uneven whitening and fluorosis.
Demineralization

Demineralization is a process where the enamel loses minerals, primarily calcium and phosphate. This can happen due to a variety of reasons, including acid erosion from foods and drinks, and it is often exacerbated by the whitening process. Whitening agents, like hydrogen peroxide or carbamide peroxide, can penetrate the enamel and, in some cases, may further demineralize the area, creating white spots. Areas with thinner enamel or those that have been previously weakened are more susceptible to demineralization during teeth whitening treatments.
Uneven Whitening
Uneven whitening occurs when the bleaching agents don’t penetrate the tooth enamel uniformly. This can result from variations in the enamel thickness, the presence of existing fillings, or the varying degrees of mineralization across the tooth surface. When some areas of the tooth whiten more quickly than others, white spots may appear. These spots are often more pronounced immediately after the whitening procedure, as the surrounding enamel lightens, creating a stark contrast. Uneven application of the whitening product can also contribute to this issue.
Fluorosis
Fluorosis is a condition caused by excessive fluoride exposure during tooth development. It can result in the appearance of white spots, streaks, or mottled enamel on the teeth. While teeth whitening does not cause fluorosis, the existing condition becomes more visible after the whitening process because the surrounding enamel becomes brighter, enhancing the contrast. The appearance of fluorosis can vary, ranging from faint white lines to more noticeable brown or dark spots, depending on the severity of the fluoride exposure.
Top 5 Facts About White Spots After Whitening

Fact 1 White Spots and Tooth Sensitivity
Teeth whitening can sometimes increase tooth sensitivity, and the presence of white spots may exacerbate this issue. Areas affected by demineralization or uneven whitening can be more sensitive to temperature changes and other stimuli. This heightened sensitivity arises because the enamel is more porous in these areas, allowing external elements to reach the nerves within the tooth. People with existing sensitivity or those who experience sensitivity after whitening should consult their dentist for advice on managing this symptom.
Fact 2 Are White Spots Permanent?
The permanence of white spots varies. Some white spots are temporary and may resolve over time as the enamel remineralizes naturally through exposure to saliva and fluoride. However, others may be more persistent, particularly if they are the result of significant demineralization or pre-existing conditions. Treatment options like remineralizing toothpaste, fluoride treatments, or cosmetic procedures can help to reduce the visibility of white spots, but it is important to note that their complete disappearance cannot always be guaranteed. It is important to talk with a dentist to assess the severity of the spots.
Fact 3 Prevention Strategies

Preventing white spots involves several strategies that can be employed both before and after the teeth whitening procedure. Prior to whitening, your dentist might recommend treatments to strengthen your enamel, such as fluoride applications. During the whitening process, ensure that the procedure is performed by a professional who can monitor the treatment and address any potential issues. After whitening, use a remineralizing toothpaste containing fluoride to help restore the minerals to your enamel. Avoid excessive consumption of acidic foods and beverages that can erode the enamel and make white spots more noticeable. Regular dental check-ups and cleanings are also crucial for overall oral health and to catch any emerging problems early.
Fact 4 Treatment Options for White Spots
Various treatment options are available to address white spots. For mild cases, remineralizing toothpaste, or professional fluoride treatments can help to strengthen the enamel and reduce the visibility of the spots. Micro-abrasion, which involves gently removing a thin layer of enamel, can be used to blend the white spots with the surrounding tooth surface. In more severe cases, cosmetic procedures such as composite resin bonding or porcelain veneers may be recommended to cover the spots and restore a uniform appearance to the teeth. The choice of treatment depends on the severity of the spots and the patient’s aesthetic goals.
Fact 5 When to See a Dentist
It is important to consult a dentist if you notice white spots after teeth whitening. A dentist can evaluate the cause and severity of the spots and recommend the appropriate treatment. You should also see a dentist if you experience increased tooth sensitivity, as this could indicate underlying enamel damage. Regular dental check-ups are essential for maintaining optimal oral health and catching any potential issues early. Your dentist can also provide professional teeth cleaning and whitening services, and they can address concerns like white spots and provide personalized advice based on your specific needs.
Preventing and Managing White Spots

Best Practices Before Teeth Whitening
Before undergoing teeth whitening, consult with your dentist to assess your oral health and identify any potential risks. The dentist can evaluate the condition of your teeth and gums, and determine if whitening is suitable for you. If you have existing white spots or areas of demineralization, your dentist may recommend pre-whitening treatments to strengthen your enamel. Discussing your dental history and any concerns with your dentist can help to ensure a safe and effective teeth whitening experience. They may suggest professional cleaning and other pre-whitening treatments to minimize the risk of white spots and other complications.
Effective Whitening Products and Methods
When choosing teeth whitening products and methods, it’s important to consider both effectiveness and safety. Professional teeth whitening performed by a dentist typically yields the best results, using high-concentration bleaching agents under controlled conditions. At-home whitening kits can also be effective, but it is important to follow the instructions carefully and use products with appropriate concentrations of peroxide. It is recommended to use whitening strips or custom-fitted trays as directed by a dentist. Using a toothbrush with soft bristles can also prevent further enamel damage.
Post-Whitening Care

After teeth whitening, proper care can help maintain your results and minimize the risk of white spots. Avoid consuming highly pigmented foods and drinks, such as coffee, tea, red wine, and berries, for the first few days after the procedure. Brush your teeth gently with a soft-bristled toothbrush and a remineralizing toothpaste containing fluoride. Regular dental check-ups and cleanings are crucial for maintaining optimal oral health and addressing any concerns. Consider using a whitening toothpaste or mouthwash to help maintain the brightness of your teeth. Following these post-whitening care tips will help preserve your smile and protect your teeth.
